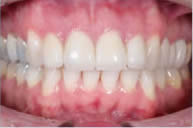
La ortodoncia corrige malposiciones dentales y esqueletales y no sólo mejora la estética de su sonrisa, sino que mejora el funcionamiento de su mandibula evitando problemas articulares, cefaleas y un excesivo desgaste de los dientes.
Por esta razón, estos tratamientos que tradicionalmente se dirigían a niños, se realizan cada vez más en adultos, existiendo en la actualidad aparatología casi invisible que pasa desapercibida.
![]() |
![]() |
![]() |










