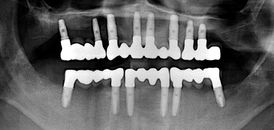
Los implantes dentales son unas piezas de titanio que se colocan en los maxilares para reponer dientes perdidos, actuando como raices artificiales.
La tasa de éxito de los implantes está por encima del 97% siendo un tratamiento SEGURO, PREDECIBLE E INDOLORO.
Los implantes son la mayoría de los casos la mejor solución para reponer piezas ausentes preservando la integridad de los dientes vecinos, aportando al paciente COMODIDAD, CONFIANZA Y AUTOESTIMA.

IMPLANTES GUIADOS POR ORDENADOR SIN INCISIONES NI SUTURAS:
Realizando un TAC al paciente procesado mediante un avanzado software 3D,
Realizamos una reconstrucción digital de los maxilares, donde podemos planificar cada caso como si fuese una cirugía previa y fabricar una férula quirúrgica que nos sirve de guía para para insertar los implantes en idéntica posición que habiamos hecho en el ordenador sin incisiones ni puntos.
![]() |
![]() |
DIENTES EN EL DÍA
Como norma general el tiempo de espera desde la colocacón del implante hasta la realización de la prótesis suele ser de 8 semanas que tarda el implante en integrarse en el hueso.
En muchas ocasiones cuando la estética está comprometida, pueden realizarse dientes fijos implantosoportados provisionales el mismo día de la cirugía, que además nos ayudan a conformar los tejidos blandos, dando al paciente un mayor confort y estética desde el primer momento.









